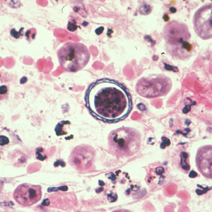
Контактні лінзи підвищують ризик інфікування патогенними бактеріями, що розвивають сліпоту. Окулісти довели, що високий відсоток контактних лінз забруднені мікробами аcanthamoeba, які не можна вбити за допомогою звичайних дезінфікуючих розчинів. Знайдені мікроби є одним з найбільш поширених видів найпростіших тваринних організмів у ґрунті і прісній воді.
Речовини викликають інфекційний амебний кератит, 85% випадків доводяться на людей, що носять контактні лінзи. Як говорять учені, ця хвороблива інфекція в довгостроковій перспективі може викликати повну сліпоту.
Речовини викликають інфекційний амебний кератит, 85% випадків доводяться на людей, що носять контактні лінзи. Як говорять учені, ця хвороблива інфекція в довгостроковій перспективі може викликати повну сліпоту.
За останні двадцять років кількість інфікованих цією бактерією зросло в цілому світі, зокрема тому, що більше людей стало вибирати для корекції зору контактні лінзи, повідомляють іспанські мікробіологи Університету Ла Лагуна.
Амеба часто зустрічається в хлорованих басейнах і водопровідній воді, тому люди, які не знімають лінзи, коли плавають, чи споліскують контейнер для лінз протічною водою, мають підвищений ризик зараження. Патогенні амеби в проточній воді живляться бактеріями і, потрапляючи на лінзу, "живуть" у просторі між нею і оком. Головна причина отримання очної інфекції - відсутність належної гігієни та правильного догляду за лінзами.
Будьте обережні та дотримуйтеся усіх правил носіння лінз. Щойно Ви помітите почервоніння очей, свербіж чи сльозотечу – негайно зверніться до фахівця!


